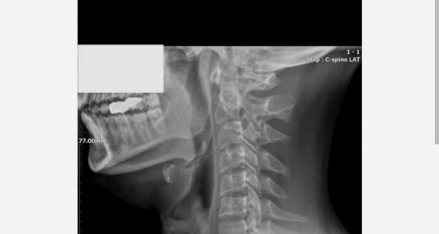
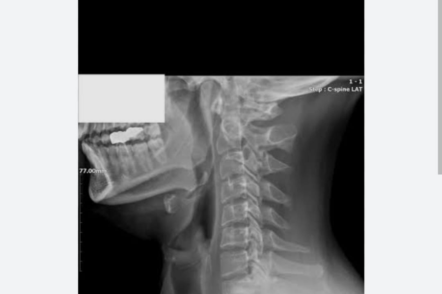
Boyun Düzleşmesi Nedir? Tedavisi ve Belirtileri Nelerdir?

Sinir Sıkışması Nedir? Tedavisine Ne İyi Gelir?
Eylül 3, 2022
Kalça Protezi Nedir? Riski Var Mı? Yürümeye Ne Zaman Başlanır ?
Ağustos 3, 2023
Boyun Düzleşmesi Nedir?  Tedavisi ve Belirtileri Nelerdir?
Bu web sitesi deneyiminizi geliştirmek için çerezleri kullanır. Bu web sitesini kullanarak şunları kabul etmiş olursunuz: Veri Koruma Politikası.
Read more
Ara