
Fizyoterapist Masaj Terapisi. Masaj Terapisi İstanbul
Kasım 8, 2024
Yutma Güçlüğü tedavisi , Yutma Terapisti İstanbul
Aralık 15, 2024Topuk dikeni ayak tabanındaki kalın derinin zamanla yıpranması sonucu derinin topuğa yapıştığı yerde zamanla sertleşerek kemikleşmesi yani kalsiyum birikmesidir. Ve bir nevi yumuşak doku ya da derinin kireçlenmesidir diyebiliriz. genelde iltihaplı ve ağrılı bir şekilde kendini gösterir. Özellikle sabah ilk adımımızı attığımızda sanki kırık cam üzerinde yürüyormuşuz gibi hissettirir. Ve bu durum bizi çoğu zaman günlük hayatımızdan alıkoyabilir ve zayıf düşürebilen bir durumdur. Bazı durumlarda tedavi almamıza rağmen yıllarca şikayetlerimiz tekrarlayabilir. Bu nedenle doğru ve etkili Topuk dikeni tedavisi son derece önemlidir.

Topuk dikeni röntgen görüntüsü(topuk dikeni resmi). soldaki sağlıklı bir topuk resmi . sağdaki ise topuk dikeni oluşmuş bir topuk
Bu konu hakkında araştırmalara baktığımızda Topuk dikeni nedenleri çeşitlilik gösterir. Bunlar içsel ve dışsal faktörler olarak ikiye ayrılır. İçsel faktörlerden en çok karşımıza çıkan obezite ve düz tabanlıktır. Bununla birlikte dışsal faktörlerden en çok karşılaştığımız ise uzun süre ayakta bekleme ve yanlış ayakkabı seçimidir. Genel olarak baktığımızda topuk dikeni neden olur dersek cevabı uzun süre ayakta kalmak ve yanlış ayakkabı seçimi diyebiliriz. Bununla birlikte araştırmalara göre topuk dikeninde aslında neden ayak tabanınındaki kalın derinin zamanla yıpranması sonucu kemikleşmeye yani kalsifiye olmaya başlamasıdır. Ve topuk dikeni genelde topuğun iç ve ön kısmında oluşur. Ayak tabanındaki kalın derinin topuğa yapıştığı yerde oluşur.
Uluslararası dergi olan PUBMED’e baktığımızda topuk dikeni nedenleri şunlardır;
Risk faktors for Plantar fasciitis;
Intrinsic risk factors
Anatomic;
- Obesity
- Pes planus (flat feet)
- Pes cavus (high-arched feet)
- Shortened Achilles tendon
Biomechanic ; - Overpronation (inward roll)
- Limited ankle dorsiflexion
- Weak intrinsic muscles of the foot
- Weak plantar flexor muscles
- Extrinsic risk factors
- Environmental Poor biomechanics or alignment
- Deconditioning
- Hard surface
- Walking barefoot
- Prolonged weight bearing
- Inadequate stretching
- Poor footwear
Kaynak; https://pmc.ncbi.nlm.nih.gov/articles/PMC3951039/pdf/permj18_1pe105.pdf
Topuk Dikeni Tedavisi istanbul , Topuk Dikeni ESWT , En Güncel Yöntemler
Bu konu hakkındaki araştırmalara baktığımızda Topuk dikeni tedavisi vardır. Ve doğru hayat tarzı değişiklikleri ile topuk dikeni doğal yollardan tedavi edebiliriz. Burada önemli olan sizin yapacağınız hayat tarzı değişikleridir. Örneğin; Tam ayağınıza uygun ve topuk bölgesini boşlukta bırakan topuk dikeni terliği giyebilirsiniz. Bunun dışında bütün ayak tabanı arklarını destekleyen tabanlık veya topuk dikeni ayakkabısı tercih edebilirsiniz. Aynı zamanda ilk dönemlerde uzun süre ayakta durmamanız şikayetlerinizi azaltmakta faydalı olacaktır.
Klinik ortamda topuk dikeni tedavisi ilaç ve topuk dikeni egzersizleri ile daha etkili sonuçlar verir. Ancak topuk dikeni için kesin çözüm ve aniden topuk dikenini kıran bir uygulama yoktur. Ama son zamanlarda klinikler topuk dikenini kırmak için ESWT şok dalga tedavisi kullanıyorlar. Topuk dikeni ESWT şok dalga tedavisinde ses dalgaları şok dalgalarına dönüşerek tekrarlı bir şekilde bir noktaya yapılır. Genellikle uzmanlar böbrek taşı, tenisçi dirseği , tendinopati ve topuk dikeni kırmak için kullanıyor. Ve topuk dikeni ESWT uygulaması yaptıranlar uygulama esnasında çok fazla ağrı ve sızlama hissederler. Bazen ağrı eşiği düşük olanlarda göz yaşı bile gelebilir. Genellikle topuk dikeni ESWT tedavisi yan etkisi ESWT yaptıranlar çok fazla ağrı ve uygulama sonrası yürümekte kısa süreliğine zorluk yaşarlar . Bununla birlikte topuk dikeni ESWT sinirsel veya damarsal bir şikayette, daha önce ayak tabanında yırtık, kırık, kan sulandırıcı kullananlar, hamileler ve ayağında implant olanlar uygulamamalıdır.

Topuk Dikeni Tedavisi ESWt uygulaması
Topuk dikeni ESWT tedavisi ücreti devlet hastanelerinde ücretsizdir. Ancak özel hastanelerde SGK’nız sigortanız varsa genelde 300-500 TL arasındadır. Ayrıca topuk dikeni ESWT tedavisini fizik tedavi işe yaramazsa uygulamalıyız. Ya da fizik tedavi ile birlikte uygulamalıyız . Bu şekilde daha etkili sonuçlar alıyoruz.
Genel olarak topuk dikeni iğnesine veya topuk dikeni ameliyatına ihtiyaç duymadan zamanla topuk dikeninden kurtulabilirsiniz. Bu nedenle yapmanız gereken en önemli şey Fizik tedavinize ek olarak şikayetlerinizi arttıracak hareketlerden uzak durmaktır. Ve bir kaç hayat tarzı değişikliği yapmaktır.
Tedavisi Evde Nasıl Yapılır?
Son zamanlarda bize en çok sorulan sorulardan biride topuk dikeni tedavisi nasıl yapılır. Ve topuk dikeni doğal kesin çözüm nedir. Topuk dikeni tedavisi vardır. Ancak bilmemiz gereken bu tedavinin zaman aldığı ve sizin de bir kaç hayat değişikliği yapmanız gerekir. Daha önceki paragrafta bunları belirttik . örneğin ; uygun topuk dikeni topuk yastığı , çok fazla ayakta kalmamak ve bir süre uzun süre yürüyüş yapmamak. şimdi sizlere topuk dikeni tedavisi nasıl yaptığımızı aşamalı halde anlatacağız. Hastamız bize başvurduğunda ilk olarak şikayetlerine göre ;
- Uygun ayakkabı ve tabanlık öneriyoruz
- Manuel terapi
- Aşil tendonu germe
- Buz uygulaması
- Medikal masaj
- Anti inflamatuar ilaçlar
- Ortez
- Ve düzenli kilo verme.
Ancak &-8 hafta ağrılar geçmezse daha ileri tedavilere başvurmalısınız
- Fziyoterapist eşliğinde egzentrik germeler
- İYontoforezis
- Derin doku masajı
- Topuk dikeni iğnesi olan kortizon, botoks
- Perkutanöz iğne
- Ön ayak gece splinti
Kaynak; https://pmc.ncbi.nlm.nih.gov/articles/PMC3951039/pdf/permj18_1pe105.pdf
Topuk dikeni tedavisi evde nasıl yapılır ve Topuk dikeni tedavisi video için aşağıdaki videomuzu izleyebilirsiniz.
Ancak topuk dikeni için evde
- Buz uygulaması
- baldır kasları aşil germe
- ayak tabanı masajı ve
- tabanlık kullanabilirsiniz.
topuk dikeni bandı özellikle en başlarda çok faydalıdır. özellikle ayak tabanındaki kalın deriyi desteklemek ve ayağın doğal yapısını yeniden kazandırmak için çeşitli yönlere doğru germe ve destekleme amacıyla kullanılır. Topuk dikeni bandı aşağıda görselde gördüğünüz gibi olur . Ayağın yanlardan ve tabanından destekler. Ve ayak tabanına binen yükü dengeler.

Topuk dikeni bandı . Plantar fasya üzerindeki yükü dengelemek ve ayak tabanını dsteklemek için kullanılır. Ayrıca ayak mekaniğini destekler
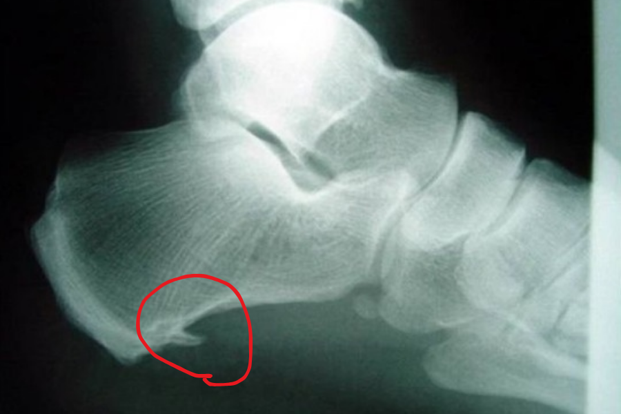
Bununla birlikte topuk dikeni röntgen görüntülemede görebilirsiniz. Hemen topuğun ön kısmında küçük bir kemik çıkıntısı olarak karşımıza çıkar.

Topuk dikeni resmi, topuk dikeni röntgen görüntüsü. hemen topuğun iç ön kısmında bir kemik çıkıntı olarak görebilirsiniz
Sizlerde eğer topuk dikeni şikayetiniz varsa profesyonel fizyoterapi ekibimizle iletişime geçebilirsiniz. Böylece size uygum ve en etkili tedaviler ile topuk dikeninden nasıl kurtulacağınızı öğrenebilirsiniz.










